publications
publications by categories in reversed chronological order. generated by jekyll-scholar.
2025
-
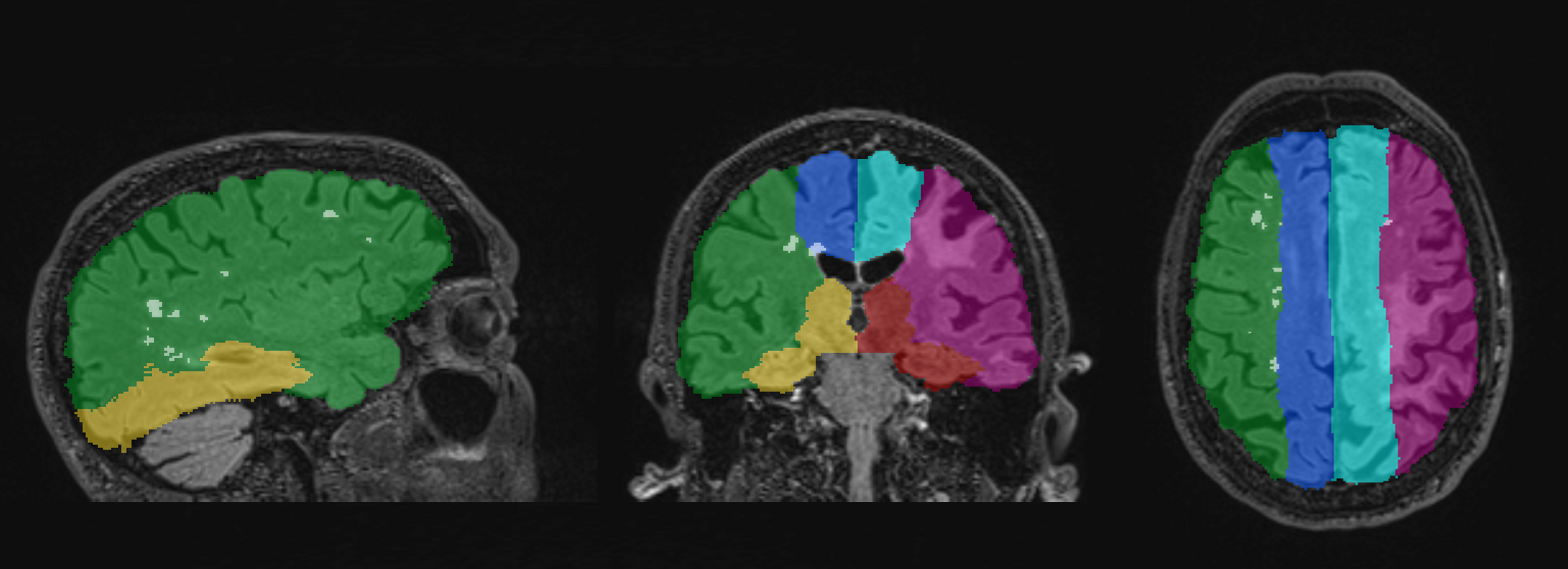
Atherosclerosis severity in the internal carotid artery is associated with elevated white matter lesion burden in the supplied brain territoriesISMRM, May 2025 -
In an older-age vascular cohort, carotid stenosis is associated with processing speed and executive function cognitive deficits, which correlate with p-tau217Alzheimer’s & Dementia, Aug 2025
2024
-
Impact of Vessel Removal on Classification of Chronic Liver Disease using Radiomics Features and Quantitative T2 MappingISMRM, May 2024 -
Enhancing Deep Learning-Based Liver Vessel Segmentation on MRI with Image Translation TechniquesISMRM, May 2024